
اصلاح طرح لبخند
داشتن دندانهای بد رنگ و نامرتب در زیبایی شما تاثیر گذار است و ناخود آگاه اعتماد به نفس شما را کاهش میدهد. در عوض داشتن یک لبخند زیبا قدرتی دارد که با هیچ چیز دیگر قابل قیاس نیست. داشتن لبخندی زیبا شما را جذابتر و پرقدرت تر معرفی میکند و هارمونی صورت شما بسیار زیباتر جلوه میدهد. به همین دلیل اصلاح طرح لبخند از اهمیت ویژهای برخوردار است. اصلاح طرح لبخند در حقیقت تلفیقی از هنر و علم است. داشتن دندانهایی که سالم باشند، برق بزنند و از همه مهمتر در یک ردیف باشند دیگر آرزو نیست.

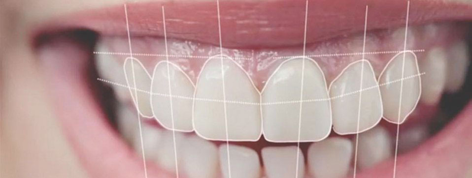
اصلاح طرح لبخند یا طراحی لبخند یا لبخند هالیوودی به نمایش گذاشتن دندان ها و لثه ها در وضعیت مناسبی گفته میشود که با جذابیت خاصی روی چهره ی فرد کاندید جلوه نمایی میکند و او را زیباتر مینمایاند .
لمینیت، ونیر یا کامپوزیت ونیر، باندینگ دندان، کاشت دندان و سفید کردن یا بلیچینگ و روکش گذاری با روکش های فول و تمام سرامیک دندان، اصلاح لبخند لثه ای و غیره انجام می شود . با این روش ها رنگ، شکل، فرم، موقعیت و سایر موارد در دندان ها اصلاح می شود و لبخندی زیبا و جذاب به داوطلب اصلاح طرح لبخند هدیه می شود .
نکته قابل توجه در اصلاح طراحی لبخند این است که این درمان تنها برای افرادی که دارای دندانهای نامرتب یا خراب و شکسته و یا بد رنگ هستند، انجام نمی شود حتی برای کسانی که دندان های خوب و سالم دارند نیز گاهی با تغییراتی کوچک در فرم و یا سفید کردن دندان ها می توان تغییر مثبت و چشمگیری را در ظاهر شخص ایجاد نمود.


